Traum erfüllt
Dienstag, 14. Oktober 2014, 15:49 Uhr
Das Nordhäuser Südharz-Klinikum verfügt seit diesem Jahr über die modernste Strahlenklinik in Thüringen”. Diese Aussage trifft der Chefarzt der Klinik für Radioonkologie und Strahlentherapie, Dr. med. Wolfgang Oehler. Einzelheiten dazu in Ihrer nnz...
Aus dieser Feststellung heraus ergibt sich für das gesamte Klinik-Team auch eine Verpflichtung, alle Möglichkeiten zu nutzen, die moderne Technik bietet.
So wurde in den zurückliegenden Monaten eine Arbeitsgruppe mit der Klinik für Thoraxchirurgie ins Leben gerufen. Gemeinsam haben die Mediziner und Physiker einen alten Traum” der Onkologie wahr werden lassen: einen Tumor direkt zu zerstrahlen. Das, was bislang nur wenigen Universitätskliniken in Deutschland vorbehalten war, das bietet das Südharz-Klinikum ebenfalls an.
Bei der Vorbereitung auf die neue Bestrahlungsmöglichkeit haben sich aus meiner Klinik vor allem Oberärztin Dr. med. Bettina Hentschel und der Leitende Physiker Dirk Strauß verdient gemacht”, lobt Chefarzt Oehler sein Team.
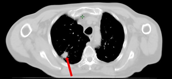
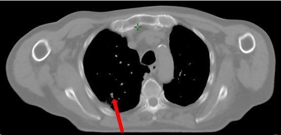
Bei einem Patienten im Nordhäuser Klinikum mit Lungenkrebs wurde diese neue Methode der Bestrahlung bereits erfolgreich angewendet. Der Tumor in der Lunge des Mannes wurde mit einer fünfmal höheren Dosis als normal bestrahlt, dabei lag die Zeit der Bestrahlung nur unwesentlich höher im Vergleich zur normalen Zeit von zwei bis drei Minuten. Für den Patienten ist das alles völlig schmerzfrei.
Nun soll diese Form der Therapie verstärkt bei Patienten angewendet werden, die aus verschiedensten Gründen nicht operabel sind oder die eine Operation ablehnen.
Autor: redAus dieser Feststellung heraus ergibt sich für das gesamte Klinik-Team auch eine Verpflichtung, alle Möglichkeiten zu nutzen, die moderne Technik bietet.
So wurde in den zurückliegenden Monaten eine Arbeitsgruppe mit der Klinik für Thoraxchirurgie ins Leben gerufen. Gemeinsam haben die Mediziner und Physiker einen alten Traum” der Onkologie wahr werden lassen: einen Tumor direkt zu zerstrahlen. Das, was bislang nur wenigen Universitätskliniken in Deutschland vorbehalten war, das bietet das Südharz-Klinikum ebenfalls an.
Bei der Vorbereitung auf die neue Bestrahlungsmöglichkeit haben sich aus meiner Klinik vor allem Oberärztin Dr. med. Bettina Hentschel und der Leitende Physiker Dirk Strauß verdient gemacht”, lobt Chefarzt Oehler sein Team.
Bei einem Patienten im Nordhäuser Klinikum mit Lungenkrebs wurde diese neue Methode der Bestrahlung bereits erfolgreich angewendet. Der Tumor in der Lunge des Mannes wurde mit einer fünfmal höheren Dosis als normal bestrahlt, dabei lag die Zeit der Bestrahlung nur unwesentlich höher im Vergleich zur normalen Zeit von zwei bis drei Minuten. Für den Patienten ist das alles völlig schmerzfrei.
Nun soll diese Form der Therapie verstärkt bei Patienten angewendet werden, die aus verschiedensten Gründen nicht operabel sind oder die eine Operation ablehnen.


