Mehr als ein Ersatz
← zurück Bild 2 von 3 weiter →
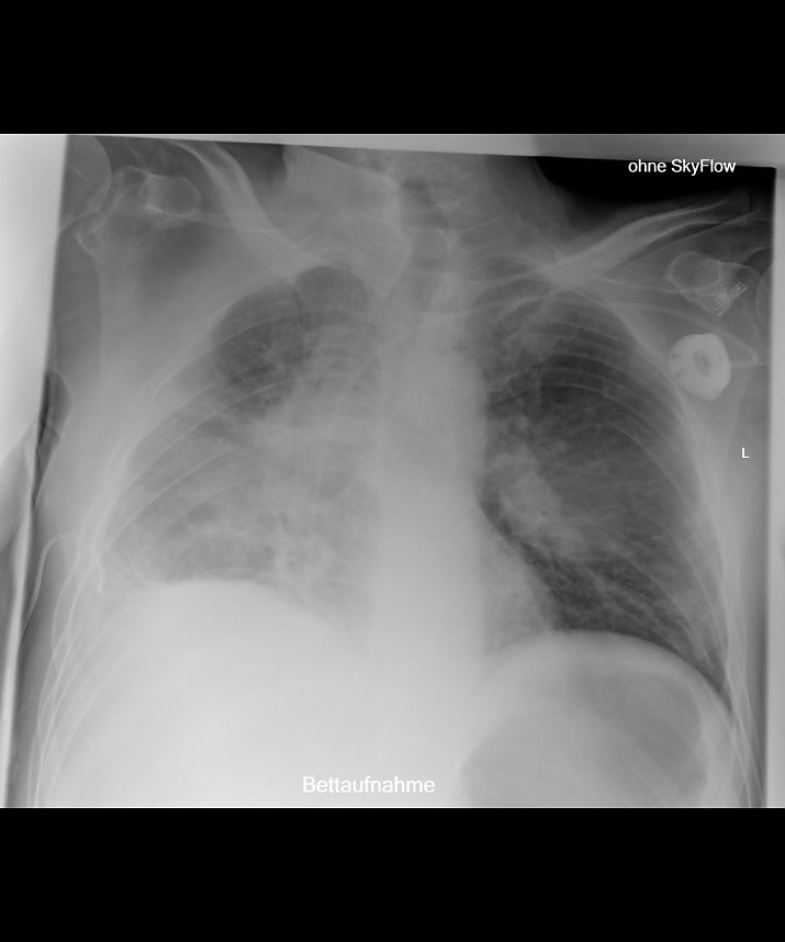
Liegendaufnahme zunächst ohne SkyFlow Technologie (Foto: red)
Alle Texte, Bilder und Grafiken dieser Web-Site unterliegen dem Urheberrecht. Weiterverbreitung nur mit schriftlicher Genehmigung von nnz-online.de.


